CK5 Antibody

ArtNr ABC-AO2289a
Hersteller Abcepta
Menge 100 ul
Kategorie
Typ Antibody Primary
Applikationen WB, IHC, ELISA
Clon 10C11E6
Specific against other
Host Mouse
ECLASS 10.1 32160702
ECLASS 11.0 32160702
UNSPSC 12352203
Similar products Cytokeratin-5, KRT5, Keratin, CK-5, Keratin-5, K5, 58 kDa cytokeratin, type II cytoskeletal 5, Type-II keratin Kb5
Lieferbar
Primary Accession
P13647
Application
WB, IHC, E
Bio References
1.Am J Surg Pathol. 2009 Nov; 33(11):1615-23. 2.J Dermatol. 2009 Aug; 36(8):447-52.
Clonality
Monoclonal
Gene ID
3852
Gene Name
KRT5
Subtitle
Purified Mouse Monoclonal Antibody
Reactivity
H
Legend image 1

Black line: Control Antigen (100 ng);
Purple line: Antigen(10ng);
Blue line: Antigen (50 ng);
Red line: Antigen (100 ng);

Type image 1
E
Dilution image 1
1/10000
Type image 2
WB
Dilution image 2
1/500 - 1/2000
Legend image 3
Figure 2: Western blot analysis using CK5 mouse mAb against A431 (1) cell lysate.
Type image 3
WB
Dilution image 3
1/500 - 1/2000
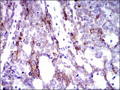
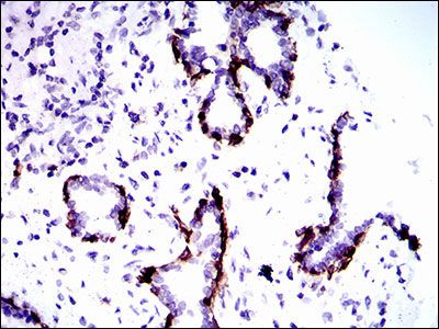
Legend image 4
Figure 3: Immunohistochemical analysis of paraffin-embedded prostate tissues using CK5 mouse mAb with DAB staining.
Type image 4
IHC
Dilution image 4
1/200 - 1/1000
Isotype
IgG1
Calculated MW
62378
Formulation
Purified antibody in PBS with 0.05% sodium azide
Description
The protein encoded by this gene is a member of the keratin gene family. The type II cytokeratins consist of basic or neutral proteins which are arranged in pairs of heterotypic keratin chains coexpressed during differentiation of simple and stratified epithelial tissues. This type II cytokeratin is specifically expressed in the basal layer of the epidermis with family member KRT14. Mutations in these genes have been associated with a complex of diseases termed epidermolysis bullosa simplex. The type II cytokeratins are clustered in a region of chromosome 12q12-q13.
Clone: 10C11E6
Immunogen
Purified recombinant fragment of human CK5 (AA: 316-590) expressed in E. Coli.

Hinweis: Die dargestellten Informationen und Dokumente (Bedienungsanleitung, Produktdatenblatt, Sicherheitsdatenblatt und Analysezertifikat) entsprechen unserem letzten Update und sollten lediglich der Orientierung dienen. Wir übernehmen keine Garantie für die Aktualität. Für spezifische Anforderungen bitten wir Sie, uns eine Anfrage zu stellen.

Alle Produkte sind nur für Forschungszwecke bestimmt. Nicht für den menschlichen, tierärztlichen oder therapeutischen Gebrauch.

Menge: 100 ul
Lieferbar: In stock
lieferbar

Lieferung vsl. bis 01.01.2026 

Vergleichen

Auf den Wunschzettel

Angebot anfordern

Lieferzeit anfragen

Technische Frage stellen

Bulk-Anfrage stellen

Fragen zum Produkt?
 
Schließen